Loading

Edge Bonding

Edge Bonding

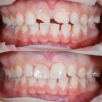
In the realm of cosmetic dentistry, dental edge bonding is a popular and versatile technique used to enhance the appearance of teeth. Also known as dental bonding or composite bonding, this minimally invasive procedure allows dentists to address various dental concerns, such as chipped edges, worn tooth surfaces, gaps, and irregularities.

The Benefits of Dental Edge Bonding:

1. Aesthetic Transformation: Dental edge bonding is a highly effective method for improving the overall appearance of teeth. By applying a tooth-colored composite resin material to the edges of the teeth, dentists can reshape, repair, and enhance the natural contours. The result is a beautifully enhanced smile that looks both natural and aesthetically pleasing.

2. Minimal Tooth Alteration: Unlike other cosmetic procedures, dental edge bonding requires minimal alteration of the natural tooth structure. The bonding material is applied directly to the tooth surface without the need for extensive enamel removal. This conservative approach preserves as much of the original tooth structure as possible while still achieving remarkable improvements.

3. Versatile Applications: Dental edge bonding can address a wide range of dental concerns. It can effectively repair chipped or fractured tooth edges, restore worn tooth surfaces, close small gaps between teeth, and even improve the appearance of mildly misaligned or irregularly shaped teeth. The versatility of dental edge bonding makes it a valuable treatment option for patients seeking smile enhancements.

4. Quick and Convenient: Dental edge bonding is a relatively quick and straightforward procedure that can often be completed in a single dental visit. The process involves preparing the tooth surface, applying the composite resin, and shaping it to achieve the desired result. This convenience allows patients to achieve significant smile transformations without extensive time commitments.

The Dental Edge Bonding Process:

1. Consultation and Examination: The dental edge bonding process begins with a comprehensive consultation and examination. The dentist will evaluate your oral health, discuss your goals and expectations, and determine if dental edge bonding is the appropriate treatment option for you.

2. Tooth Preparation: The tooth receiving the bonding treatment is prepared by gently etching the surface. This creates a rough texture that helps the bonding material adhere securely to the tooth.

3. Bonding Material Application: A tooth-colored composite resin is carefully applied to the edges of the teeth. The resin is sculpted and shaped to achieve the desired outcome, considering both aesthetics and functionality. The dentist will skillfully blend the composite material with the natural tooth structure, ensuring a seamless and natural-looking result.

4. Curing and Polishing: Once the bonding material is shaped, it is hardened using a special curing light. This process helps the resin bond securely to the tooth structure. Afterward, the dentist will polish the bonded area to achieve a smooth and natural appearance that matches the surrounding teeth.

5. Final Adjustments and Follow-up: The dentist will make any necessary adjustments to ensure the bite and overall comfort are optimal. They may also provide instructions on oral hygiene practices and schedule a follow-up visit to assess the longevity and effectiveness of the bonding treatment.

Home
Phone
Whatsapp
Get a Quote